Biopolis Dresden Imaging Platform

Royal jelly in focus

Kurth T, Kretschmar S, Buttstedt A

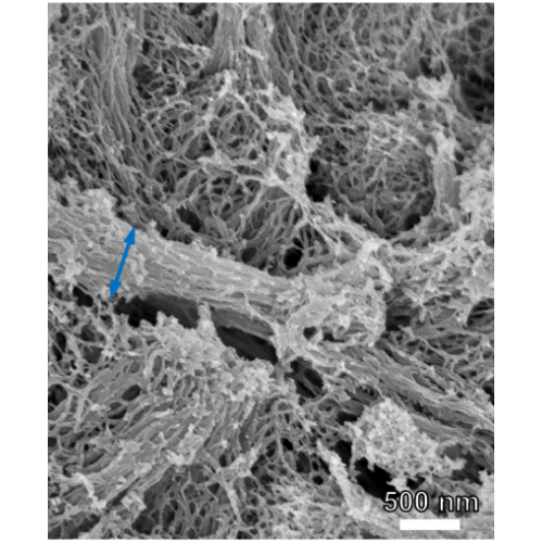
Honey bee (Apis spp.) royal jelly, a glandular secretion used to raise young larvae to future queens, has long been considered merely as food. Since queen larvae are raised upside down in their vertically oriented queen cells, royal jelly also needs to adhere the larvae to the cell ceiling to prevent the prospective queen from dropping out. This is exactly where the native acidic pH of royal jelly comes into play: only at a pH of 4.0 is royal jelly viscous enough to hold the larvae in their cells. We here show with the help of electron microscopy that royal jelly possesses a complex tissue-like organization at pH 4.0 which is similar to the dense extracellular matrix of animals providing structural support. The main structural elements at pH 4.0 are proteinaceous fibril bundles, embedded in a fibrillary net, that seem to be bunched in electron-dense structures, potential sites of fibril overlap and cross-linking. At an exogenously induced increased royal jelly pH of 7.0, these fibrillary structures are largely destroyed. This is when royal jelly viscosity decreases and holding the queen larvae in place is no longer guaranteed.

  • Insect. Soc. (2018)
  • 2018
  • PubMed

Enabled by:

Back to list